Badanie RTG, potocznie nazywane badaniem rentgenowskim, to podstawa w przeprowadzaniu diagnostyki obrazowej konkretnych partii ciała. Często wystarcza ono do rozpoznania przyczyny danej dolegliwości lub nakierowuje na zalecenie dodatkowych badań. Niekiedy bez RTG nie da się dobrać właściwego leczenia. Znajduje ono zastosowanie w wielu dziedzinach medycyny i mimo że metoda ta ma już wiele lat, trudno się bez niej obejść.
• Co to dokładnie jest badanie RTG?
• Na czym polega prześwietlenie rentgenowskie?
• W jakich przypadkach powinniśmy poddać się badaniu radiologicznemu?
• Czy istnieją skutki uboczne badania RTG?
Badanie RTG jest jednym z elementów radiologii, czyli dziedziny medycyny zajmującej się obrazowaniem fragmentów ciała człowieka poprzez użycie promieniowania rentgenowskiego. Słynne promienie X zostały odkryte przez niemieckiego fizyka Wilhelma Konrada Roentgena w 1895 roku. Stwierdził on, że owe promienie mogą przenikać na wylot ciało ludzkie, w efekcie pozostawiając na kliszy fotograficznej dokładny obraz jego tkanek. Po raz pierwszy w dziejach, Roentgen wykonał zdjęcie szkieletu dłoni.

Co to dokładnie jest badanie RTG?
RTG to badanie radiologiczne, które polega na prześwietleniu konkretnego fragmentu ciała człowieka promieniami rentgenowskimi. Ich strumień przenika przez wybraną część ciała pacjenta, po czym trafia na kliszę rentgenowską, na której jest rejestruje się obraz. Dzięki temu możemy zobaczyć wnętrze organizmu człowieka i zmiany w nim zachodzące.
Na czym polega prześwietlenie rentgenowskie?
Badanie RTG jest krótkie, trwa od kilku do maksymalnie kilkunastu minut. Jest bezbolesne i w większości przypadków nie wymaga ze strony pacjenta szczególnego przygotowania. Jedynie w przypadku prześwietleń układu pokarmowego i odcinka lędźwiowego kręgosłupa należy ostatni posiłek zjeść dzień wcześniej do godziny 18. Do tego powinien być on lekkostrawny. W dniu badania nic nie możemy jeść, palić papierosów oraz trzeba się wypróżnić.
Badanie jest wykonywane specjalnym sprzętem wysyłającym odpowiednią dawkę promieni X. Zazwyczaj jest ono wykonywane w tym samym dniu, w którym jest ono zgłoszone, chyba że jest to któryś z wymienionych powyżej typów, do których trzeba się przygotować. Podczas prześwietlenia pacjent jedynie powinien odsłonić badaną część ciała, czasem zostanie poproszony o wstrzymanie oddechu i uniesienie rąk. Oczywiście badany nie może mieć przy sobie żadnych metalowych przedmiotów.

W jakich przypadkach powinniśmy poddać się badaniu radiologicznemu?
Rodzajów badań RTG jest wiele i są one dobierane w zależności od podejrzewanej dolegliwości. Pozwalają one na rozpoznanie różnych wad – wrodzonych lub rozwojowych, nowotworów, chorób zapalnych, zaburzeń takich jak krzywica czy osteoporoza oraz stanów pourazowych.
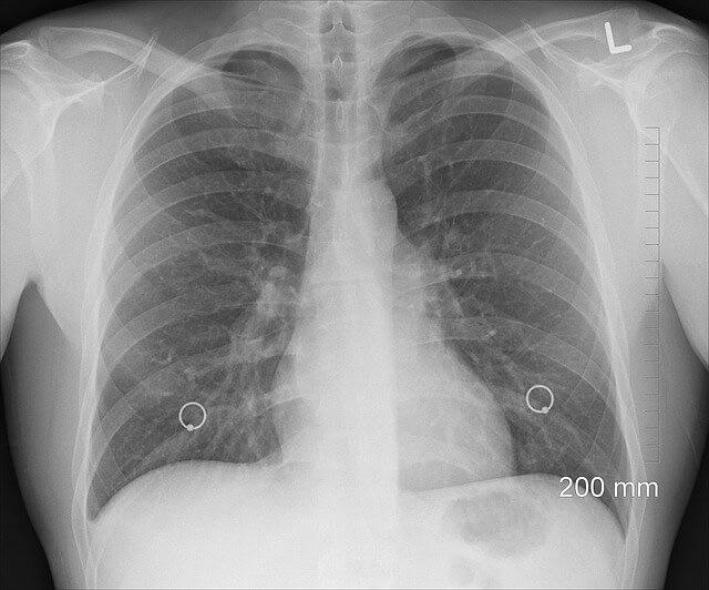
Najczęściej wykonywanym prześwietleniem jest rentgen klatki piersiowej. Ukazuje ono serce, tętnice, przepona, układ oddechowy w tym płuca i drogi oddechowe, a także szkielet klatki piersiowej i część kręgosłupa. Wykonuje się je wtedy kiedy mamy na przykład: trudności w oddychaniu, cierpimy na uciążliwy, chroniczny kaszel, duszności, choroby serca, odczuwamy ból w klatce piersiowej oraz gdy uległa ona jakimś urazom. Taki rentgen powinien być także profilaktycznie wykonywany co dwa lata, a w przypadku osób ze zwiększonym ryzykiem chorób płuc, raz na rok.
Często także wykonywane są prześwietlenia kości i stawów, głównie w przypadku złamań, zwichnięć i stłuczeń. Także osoby, które cierpią na choroby reumatyczne, zwyrodnieniowe lub osteoporozę powinny poprzez takie badania kontrolować ich przebieg.
Badanie RTG przeprowadza się także w przypadku chęci wykrycia nieprawidłowości postawy, przy bólach oraz urazach kręgosłupa, a także w celu określenia przyczyny bólu szyi, barków i częstych zawrotów głowy. Zdjęcie czaszki trzeba wykonać gdy istnieje podejrzenie guza mózgu, pacjent cierpi na wodogłowie lub czaszka uległa urazowi.
Dodatkowo można także wykorzystać badanie RTG do zbadania jamy brzusznej. To pozwala na wykrycie wielu przyczyn dolegliwości w obrębie układu pokarmowego takich jak kamienie żółciowe, ciała obce lub urazy.
Badania rentgenowskie są także wykorzystywane w stomatologii. Służą one do diagnozy poszczególnych zębów, układu i wad zgryzu, a także pozwalają na wykrycie torbieli i guzów oraz innych zmian w jamie ustnej.

Czy istnieją skutki uboczne badania RTG?
Ponieważ dawka promieniowania, na którą pacjent jest wystawiony jest niewielka, to badanie RTG nie jest szkodliwe dla jego zdrowia. Mimo tego, przestrzega się, by chronić podczas prześwietleń narządy rozrodcze. Kobiety w ciąży nie powinny poddawać się takiemu badaniu jeżeli nie jest to wyjątkowo konieczne. Dzieci również nie powinny być prześwietlane promieniami rentgenowskimi.
3 komentarze
Takie badanie to dla mnie akurat nie nowość. W swoim życiu często lądowałem na prześwietleniach. Teraz jednak są dosyć wysokie standardy zabezpieczeń, więc takie badania nie są jakoś szczególnie niebezpieczne dla zdrowia.
Takich badań nie mogą też robić osoby, które mają w sobie np. tytanowe klipsy czy śruby. Trzeba koniecznie o tym powiedzieć lekarzowi, wtedy lepiej wykonać inne badanie.
Bardzo dobry artykuł który porusza ważne kwestie. Po przeczytaniu dużo się dowiedziałem przydatnych informacji. Pozdrawiam,